Studio Dentistico Dr.ssa Marina Bombardelli


  Telefono : 031.306.406

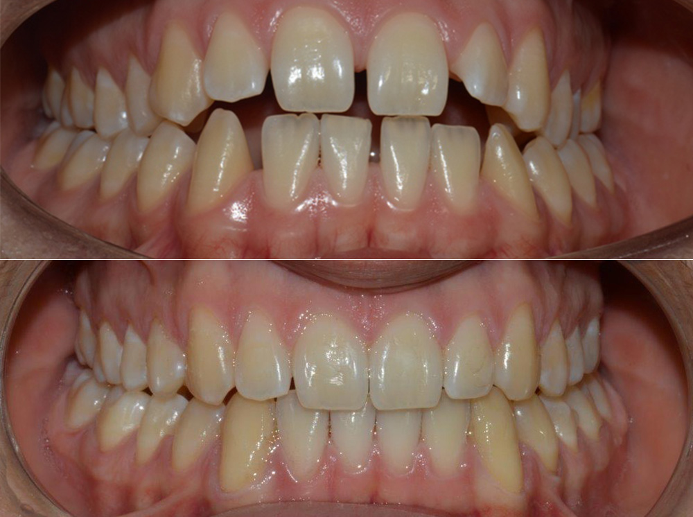
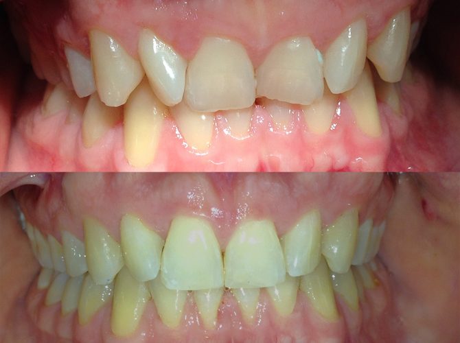
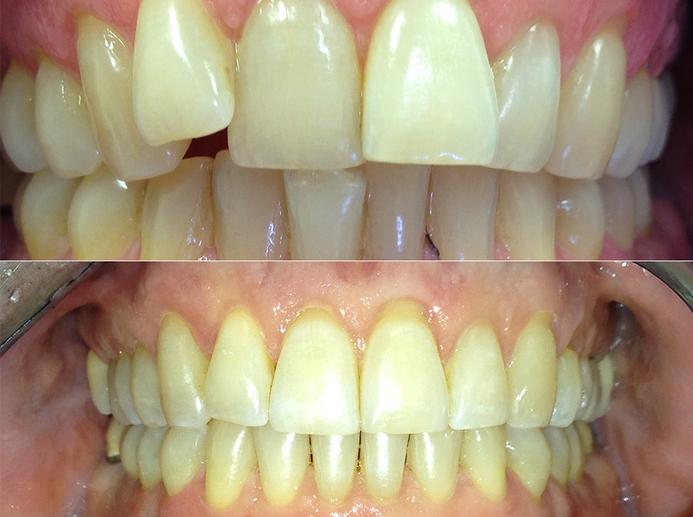
Casi clinici Studio Dentistico Bombardelli